疾病知识导航
服务项目 ∨
国际会诊
中美联合会诊
英国专家会诊
日本专家会诊
出国看病
美国看病
英国看病
日本看病
放射治疗
美国质子治疗
日本质子治疗
日本硼中子俘获疗法 ( BNCT )
基因检测
肿瘤治疗应答指数检测 ( TRI )
健康管理
名医名院 ∨
国际专家
国际医院
中美远程医联体
实际案例 ∨
癌症
肺癌
肝癌
乳腺癌
宫颈癌
卵巢癌
结直肠癌
前列腺癌
膀胱癌
胰腺癌
淋巴瘤
多发性骨髓瘤
白血病
甲状腺癌
胃癌
黑色素瘤
脑肿瘤
其他肿瘤
专科疾病
心血管专科
肺病专科
胃肠道专科
眼科
肝病专科
内分泌专科
皮肤专科
风湿免疫专科
罕见病
其它专科
神经疾病
癫痫
抑郁
焦虑症
帕金森
多发性肌炎
格林-巴利综合征
儿童疾病
心脏病
新生儿呼吸窘迫综合征
前沿医讯 ∨
医学资讯
用药资讯
出国看病资讯
科普视频
关于我们 ∨
公司介绍
企业新闻
媒体报道
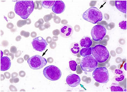
警惕!化疗会增加患罕见白血病的风险!
医学资讯 发布时间:2018-12-26
化疗作为癌症治疗的三剑客,一直被广泛运用于临床。但美国国家癌症研究所(NCI)一项新的研究表明,化疗会增加一种罕见但致命的白血病的风险。 该研究...
更多+
怎么避免家族遗传癌症
因担心癌症家族遗传风险,越来越多人开始重视起来,甚至选择预防性切除。在 出国看病 癌症患者中,也有相当一部分存在家族遗传。因此,当家族中有...
年轻人得胃癌的5大特点
我国胃癌病发大国,每年新发病例约68万,占全球的一半。近年来,随着青年人生活方式的改变,胃癌发病率也呈年轻化趋势。美国在胃癌治疗方面的新疗...
为什么中国治疗肝癌效果不如欧美?
说起肝癌,全球超过一半的患者都在中国,而且中国肝癌患者整体生存率不高。寻求国外新疗法,是肝癌患者出国看病的最大诉求。为何中国肝癌生存率较...
地中海沿岸的人为什么普遍长寿?秘密就在吃上
医学资讯 发布时间:2018-12-25
受希腊、意大利和西班牙人的传统饮食模式的启发,地中海饮食一直是心血管领域和营养学研究的热点。一项最近的研究试图从微观层面探究地中海饮食对...
冬季怎么保护皮肤?这6条护肤锦囊快收好
每到冷空气肆虐的冬季,有的人就开始发愁了。因为皮肤总是干干的,还一层层地脱皮。 气候干燥、身体缺水,其实是导致冬季皮肤脱皮的主要原因。另外...
5种温暖又健康的蛋白质
最近在干嘛? 囤积脂肪准备过冬呢! 但一不小心就囤了一堆用不着的脂肪,明年落得个此胖绵绵无绝期。而且,胖还不抗冻,真是白瞎了! 寒冷的冬季,我们...
来那度胺(Lenalidomide)让骨髓瘤患者回归正常生活
医学资讯 发布时间:2018-12-24
来那度胺在新研究中显示出效果和生存率改善,给一种严重的骨髓瘤患者带来了希望。 化疗和干细胞移植都试过了,年轻的骨髓瘤患者还能怎么办? 近日,...
诱发肺癌的病因有哪些?一半患者都有这个爱好
哪怕你从未抽过半根烟,甚至从不喝酒、不喝奶茶、健康饮食、规律锻炼,也仍不能与肺癌绝缘。肺癌的诱因有很多,好医友为你整理了6种主要的肺癌诱因...
研究发现偏头痛患者患糖尿病的风险较低
医学资讯 发布时间:2018-12-21
最近一项大型观察性研究发现:患有偏头痛的女性患2型糖尿病的风险较低。研究还发现,偏头痛在糖尿病确诊前几年有所下降。 如果偏头痛和糖尿病非得...
联系医学顾问
医学顾问微信在线